
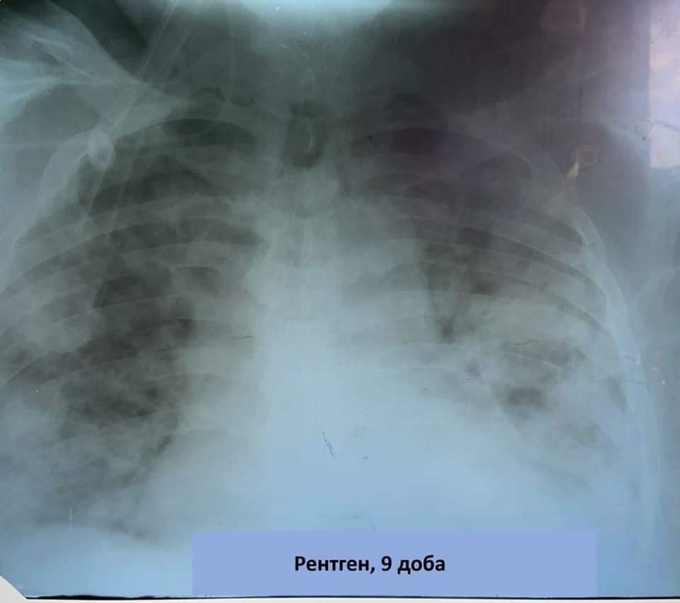
69-річний прикарпатець поступив в Івано-Франківську обласну клінічну лікарню на другий тиждень захворювання із дихальною недостатністю і гарячкою.
Про порятунок чоловіка медиками з Івано-Франківська розповіла засутпник міністра охорони здоров'я Ірина Микичак, передає Фіртка.
"Щодня спілкуючись з нашими клінічними консультантами, довідуюсь десятки унікальних історій одужання дуже важких пацієнтів з Covid19. Сьогодні Sergii Dubrov розповів про надскладний клінічний випадок з Івано-Франківська Обласна Клінічна Лікарня Хворий, якому 69 років, поступив у лікарню на другий тиждень захворювання із дихальною недостатністю і гарячкою", -написала Ірина Микичак.
Стан пацієнта ускладнювали ожиріння ІІІ ст. (110 кг), єдина нирка та гіпертонічна хвороба ІІ ст.
"Індекс оксигенації 75 ммHg . Шанси були мінімальні. 22 доби штучної вентиляції легень, комбінована важка терапія. Застосовано і наш протокол. І вдалося. Чоловік повернувся до життя. Зараз самостійно дихає, періодично потребує О2 через носові канюлі. Велика щира вдячність усім медикам, а зокрема, Франківщини, які самовіддано і професійно рятують хворих. Особлива повага і гордість за команду анестезіологів на чолі з Ігорем Пуликом-обласним анестезіологом. Це надважлива і дуже тиха скромна перемога медиків і пацієнта", - розповідає посадовець.